
Dental Crowns
These restorations can also be used as a cosmetic treatment to conceal imperfections or paired with dental implants to replace lost teeth. Dr. Andy Maples offers traditional and same-day crowns for our patients at West Lake Dental in Loveland, CO.
What Is a Dental Crown?
/
Simply put, a dental crown is a cap that covers your natural tooth. They are made from durable materials like porcelain, zirconia, or ceramics. We can create same-day crowns in our office or provide you with a temporary crown if your permanent crown is being made in a lab, so you don't have to wait long for a new smile.
Dental Anxiety Is Common and It Affects About 20% of Americans

According to the National Institute of Dental and Craniofacial Research, one out of five U.S. adults — or about 20% — feel nervous about visiting the dentist. So, if your anxiety has ever stopped you from seeking treatment, you're not alone. Fortunately, you've found a team who goes above and beyond to make patients comfortable: West Lake Dental.
Visit a Practice That Excels in Patient Comfort
Like many of our patients, you may experience dental anxiety. This fear can stop you from visiting the dentist, even if you are in pain or need immediate care. It may help you to know that we see this often — and we will work hard to keep you comfortable.
This starts with little details to make our office feel like home. Whether you want to relax and watch TV during your treatment or you want to gaze at the lake our windows overlook, you'll find plenty of ways to decompress.
Dr. Maples and our caring team make you feel supported throughout your visits. We're happy to explain your treatment thoroughly so you have a full understanding of what it can do for you.
From dental crowns to maintaining your new smile with routine dentistry appointments, patients rely on our Loveland dental office. Contact us to learn more or call:

(970) 669-1444
We're Here to Help
Ready to Begin? Start Your Paperwork
We make it easy for patients to save time during their visits. Simply print and fill out the paperwork at your convenience and bring it to your appointment.
Patients Explain Why They Return to Our Loveland Office
Dr. Maples and his staff have been amazing. The atmosphere is comfortable and they take great care to make sure you understand your options and know what's going on throughout your dental procedure.
Dr. Maples had a gentle hand and I appreciated how discomfort free my entire procedure was. Will definitely be getting all my dental work done at Westlake Dental! Highly recommend
Dr. Andy Maples and everyone at West Lake Dental are truly amazing. I tell all of my friends and co-workers that I truly enjoy going to the dentist, because my dentist office is that good. I recently had a filling and haven't had one for 8 years so I was nervous about what to expect. It was such a great experience from start to finish. I didn't even feel the numbing injections. Dr. Andy called me at 8pm to check on me and make sure I was doing ok after the procedure. The staff are always friendly and welcoming, and truly make you feel like they care.
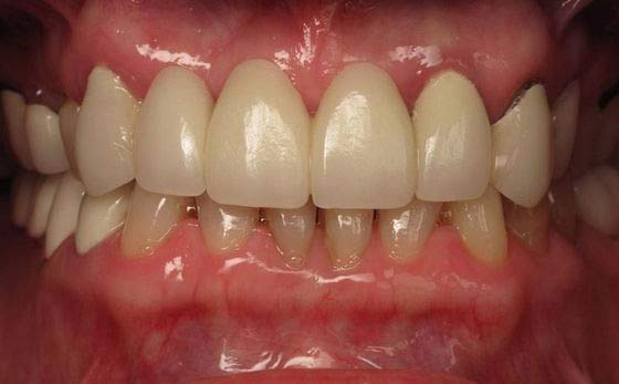
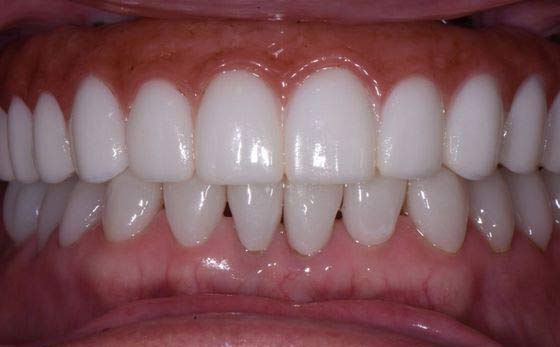
View on GoogleReal Patients, Real Results Will My Crown Look Natural?
Yes, it will. Our Loveland dentistry practice makes custom crowns designed to blend in with your smile. We offer several materials, such as zirconia and porcelain, which are durable and lifelike. Our dentist can explain the benefits of each material during your consultation.
Cosmetic crowns were used to completely make over this patient's smile. Now, they can enjoy beautiful and functional teeth. To learn more about zirconia, ceramic, and porcelain crowns, reach out to our Loveland office.
Traditional Dental Crowns A Closer Look at the Procedure
Many of our patients qualify for same-day crowns.
Take a Look at Crown Placement
Did You Know?
/
Colorado requires dentists to undergo at least 15 hours of continuing education per year to maintain their dental license. Dr. Maples goes above and beyond, completing about 150 hours in 2020.
Choose a Dentist Who Loves Learning
Dentistry is an exciting field, filled with frequent advances in techniques and technology. Dr. Maples prides himself on keeping up with these changes. From his 150 hours of continuing education to his use of our CAD/CAM machine, he continues to put his patients first.
Dr. Maples is dedicated to providing his patients with well-rounded care. In addition to his commitment to advancements in the field of dentistry, Dr. Maples won The Inaugural Dr. Simpson Award for Excellence in Aesthetic Restorative Dentistry as a dental student. He has also earned a fellowship from the Academy of General Dentistry, which gave him an opportunity to expand his knowledge in the field. Finally, he is qualified to place dental implants, allowing you to visit the same dentist throughout your treatment.
The difference is plain to see at West Lake Dental. If you're ready to visit our knowledgeable dentist, contact our Loveland, CO, office or call:
(970) 669-1444

A Loveland, CO, Patient's Dental Crown Experience
Dr. Andy and Sara did it again! Another crown and another outstanding job! Great work! I have complete confidence in this office. Thanks again, and thank you West Lake Dental! Rodney Corman, 2022
Same-Day Crowns Made Possible by State-of-the-Art Technology

At West Lake Dental, we use the E4D system, an advanced CAD/CAM machine. Qualifying patients can have their dental crowns fabricated and placed in just one office visit.
There is no need for a temporary crown or a wait time of two to four weeks for a fully restored smile. During a consultation at our dentistry practice, Dr. Maples can let you know if you are a candidate for this state-of-the-art procedure.
"...A Kind and Caring Group." What Loveland, CO, Patients Have to Say
I am a retired doctor and new to the area. I was referred to Dr. Maples through family members. I must tell you firstly that I was envious of the manner in which his office is operated. I had practiced my profession for thirty-six years and have not seen a better run operation. The staff is highly skilled and were a kind and caring group. Each time I've visited the office I have been treated like a family member. Rarely do you find such a consistently genuine dental office.
View On GoogleDr Andy and his staff were thorough, professional, and took their time to explain their treatment for me at my first appt. with them. A five-star experience!
View On Google






